
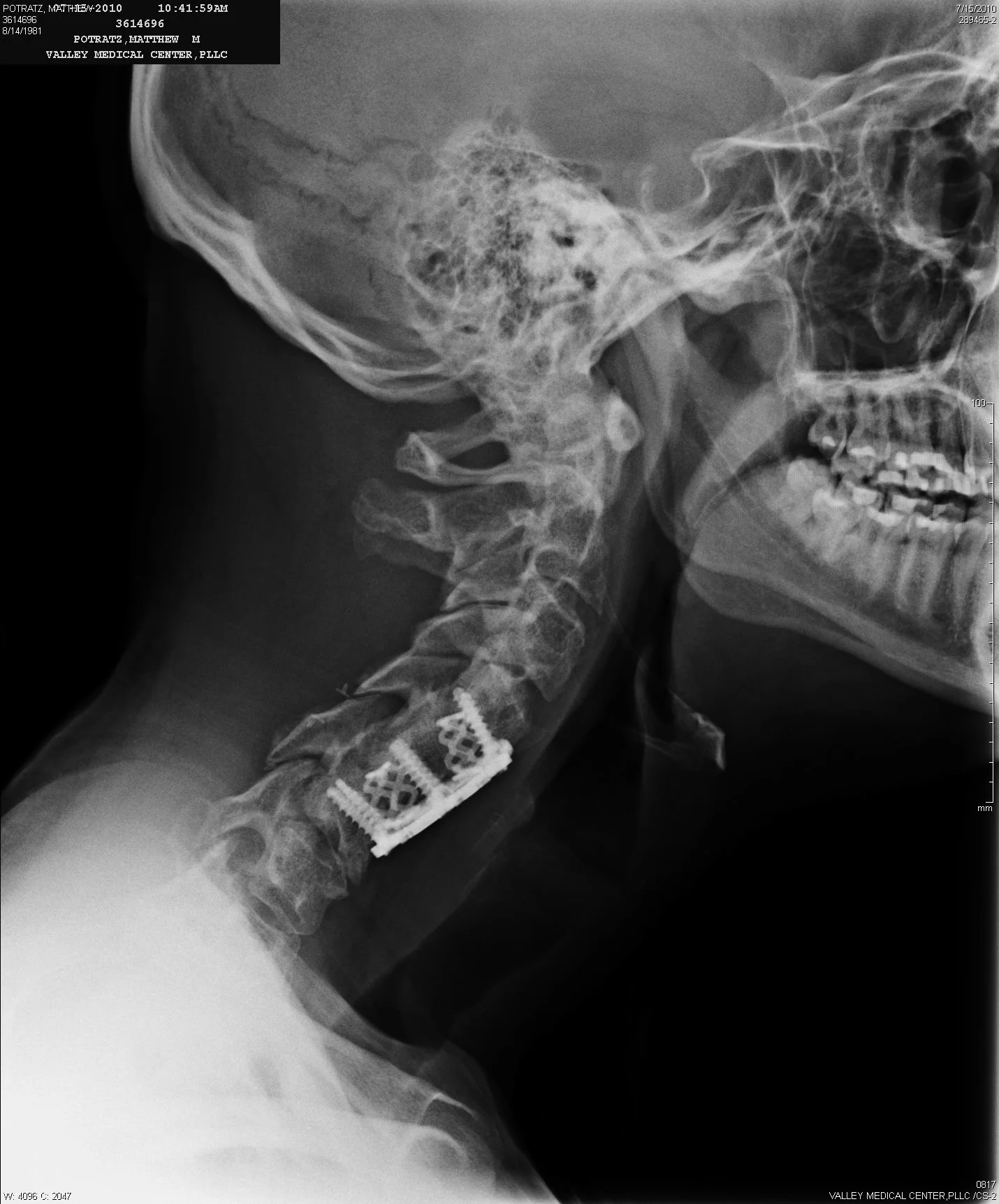
“From the time an avalanche fractured to the time I was violently crushed into a tree and buried, was twelve seconds. Life can definitely change in an instant. Everything had been going quite well for me, but in twelve seconds, I went from Hero to Zero.”